Trang Chủ
TƯ VẤN ĐIỀU TRỊ C BẰNG THUỐC MỚI NHẤT (DẠNG KẾT HỢP)
* THUỐC UỐNG THẾ HỆ MỚI * HIỆU QUẢ CAO * KHÔNG TÁC DỤNG PHỤ
* CHI PHÍ THẤP * THỜI GIAN NGẮN * KHÔNG CHÍCH THUỐC

CHUYÊN ĐỀ
Cần làm gì khi bị mất kinh nguyệt? (11/06/2010)
Mất kinh là khi bạn không vướng mắc thời kỳ kinh nguyệt. Thời kỳ thứ nhất mất kinh là lúc bạn không bị kinh nguyệt...
Chi tiết
Dầu thực vật có tốt? (11/06/2010)
Phần lớn bà nội trợ đều nghĩ rằng ăn dầu, bơ thực vật rất tốt cho sức khỏe... Nhưng thông tin từ hội thảo về dầu và bơ thực vật...
Chi tiết
Chế độ dinh dưỡng trong bệnh gan (04/06/2010)
Gan được xem như là một nhà máy chế biến thức ăn và cung cấp năng lượng...
Chi tiết
Tăng huyết áp - Nhận biết, điều trị & phòng ngừa(01/06/2010)
Huyết áp (HA) là áp lực của dòng máu tác động lên thành động mạch (áp lực này được gọi là huyết áp động mạch)...
Chi tiết
Dinh dưỡng cho người bệnh đái tháo đường type 2(29/05/2010)
Mục tiêu của dinh dưỡng liệu pháp là hổ trợ kiểm soát chuyển hoá trong cơ thể và giảm yếu tố nguy cô gây biến chứng trên người bệnh ĐTĐ týp 2...
Chi tiết
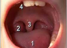
12 Điều bệnh nhân cắt Amiđan cần biết(29/05/2010)
A-mi-đan (Amygdale) là tên gọi của các tổ chức bạch huyết nằm ở xung quanh vùng mũi họng...
Chi tiết
KẾT NỐI NHANH
Get the Flash Player to see this player.
D-Clinic
CÔNG TY TNHH PKĐK ĐI CỜ LI NÍT
Địa chỉ: 225 Lê Thánh Tôn, P. Bến Thành, Q.1, TP.HCM
Tel : 0399 777 888